Dental F

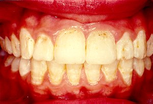
Pictures: Dental Fluorosis

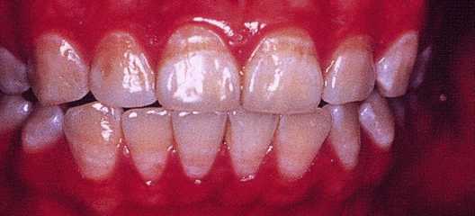
More Pictures of Dental Fluorosis